〒564-0031 大阪府吹田市元町3-7
JR吹田駅徒歩1分

 
8:00~10:00 × × × × ×
10:00~13:30 ×
15:30~21:00 × × ×

※火曜・祝日は休診日です。
※誠に勝手ながら、講習会出席などで休診とさせて頂く場合もあります
のであらかじめお問い合わせください。

af9980030577l.jpg

歯を失ってしまった、抜けてしまった部分などの状態の際に、人工の歯を埋め込む治療を指します。最近「インプラント」という言葉は一般的になってきているので、ご存知の方も多いと思います。

歯を埋めるということは痛い、怖い・・・などの不安もあることと思います。 しかし「インプラント」とは、何かを「埋める」ことを意味する言葉で、医学の世界では整形外科の人工関節などを骨に埋め込む治療で多くの実績があります。
歴史的に人間は、失った自分の体の一部を何かで補うことを考え続けてきました。歯においても40年以上の臨床実績があり、安心していただけると思います。

人工の歯根となるインプラントはチタン製です。チタンは骨と結合する特性をもっています。
また、地球上で最もアレルギーの少ない金属と言われており、金属アレルギーの方でも特殊な場合を除き、使用していただけます。  顎の骨にしっかりと固定されるインプラント治療は、ぐらついたりせず、取り外して洗う必要もないので、入れ歯などと比べてもメンテナンス面で優れています。
天然の歯と変わらない感覚で噛むことができ、自然で美しい歯を手に入れることができる、それがインプラント治療なのです。

<治療前> 
31_944.jpg
<治療後>
31_21163.jpg
<治療途中>
31_18407.jpg
<治療後>
31_21185.jpg

インプラント治療を希望された事で入れ歯を使わずに快適に過ごす事ができます。

141.jpg
233.jpg

インプラント治療は、CTで骨の状態を診査してから行います。

<治療途中>
31_21160.jpg
<治療後>
31_21156.jpg
<治療前・上>
59_10570.jpg
<治療後・上>
59_23485.jpg
<CT画像・上>
26.jpg
<治療前・下>
 
59_10571.jpg
<治療後・下>
 
59_23526.jpg
<CT画像・下>
 
46.jpg

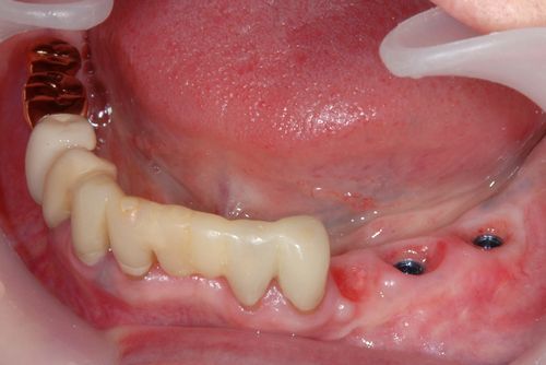
インプラント治療を選択された事により、入れ歯治療さける事ができました。また、インプラントでしっかり奥歯で咬む事ができるので、残りの歯の負担が減り、歯が長持ちするでしょう。

<治療前>
3681_16973.jpg
<CT画像>
 
im1.jpg
im2.jpg

CT画像をみて、インプラントの入れる位置を診査します。

<治療経過①>
 
3681_21967.jpg

インプラントの上に仮の土台が装着されました。

<治療経過②>
 
3681_23383.jpg

インプラントの上に仮の土台が装着されました。

<治療後>
 
3681_24161.jpg

最終的なかぶせが装着されました。

お気軽にお問合せください

お電話でのお問合せ

06-6317-8020

<受付時間>
午前・・・10:00~13:30
午後・・・15:30~21:00
土日・・・8:00~13:30
※祝日は除く

ネット予約

お気軽にどうぞ

問診票

初診の方ご来院時に受付にご提出下さい。

すいた駅前歯科

住所

〒564-0031
大阪府吹田市元町3-7

アクセス

JR吹田駅徒歩1分

診療時間
 
8:00~
10:00
× × × × ×
10:00~
13:30
×
15:30~
21:00
× × ×

午前・・・10:00~13:30
午後・・・15:30~21:00
土日・・・8:00~13:30

休診日

火曜、祝日

CT完備

インプラント専用サイト

わくわく歯っぴぃくらぶ

対応エリア

吹田市、東淀川区、淀川区、茨木市(吹田、東淀川、岸辺、相川、豊津、上新庄、下新庄)